Dental Implants
Before
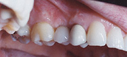
After

Mini dental implants can be placed in many areas of the mouth as a foundation for permanent crowns and bridges. At the dental office of Dr. Charles McCluer in Fort Worth, we offer dental implants that can help replace missing teeth by anchoring prosthetic teeth (in the form of crowns or bridges) in your mouth in a permanent way.

How are mini dental implants different from dentures?
The difference between dentures and implants is that dentures can be removed, but dental implants are permanently anchored into the jawbone. Mini dental implants are made of a titanium alloy, and the implant device forms a chemical and mechanical bond with the jaw. With time, the jawbone actually grows into the implant. The top of each mini dental implant is a “head” that a crown or bridge can be permanently attached to.

If you are missing a tooth or many teeth, but the rest of your teeth are in good shape, you’ll want a replacement tooth that matches your natural teeth as closely as possible. The dental implants that we use to anchor your crowns or bridges in your mouth can help you achieve a more attractive smile.

Who is a good candidate for dental implants?
In general, Dr. McCluer considers you a good candidate for dental implants if you have healthy, strong jawbone ridges and healthy oral tissues, and are free of periodontal disease. Dental implants are a great choice for patients who need to replace a single tooth, or several teeth via a dental implant-supported bridge.

After you get your dental implants and crowns or bridges installed, you’ll need to care for them the way you care for your other teeth – with frequent brushing and flossing, and regular dental cleanings.

The best choice for dental implants in Fort Worth
Dr. McCluer has been practicing dentistry in Fort Worth for over 20 years, and has ample experience with dental implants. So if you’ve been thinking about having a mini dental implant installed to anchor crowns or bridges, call (817) 731-2661 and make an appointment with our office today to find out if mini dental implants are right for you.